Stressfrakturen, die durch eine wiederholte Überlastung der Knochen ausgelöst werden, kommen im Sport häufig vor [13]. Eine erfolgreiche Heilung von Frakturen ist besonders im Leistungssport relevant. In 4,9 % der Fälle kommt es jedoch nicht zu einer knöchernen Durchbauung der Fraktur. In einem Zeitraum von drei bis vier Monaten wird von einer delayed union fracture gesprochen, bleibt die knöcherne Durchbauung über sechs Monate aus, spricht man von einer non-union fracture, im Deutschen auch Pseudarthrose genannt [1]. Für bessere Heilungschancen werden in der Medizin heute verschiedene Verfahren angewendet.
Risikofaktoren
Sportlerinnen haben ein höheres Risiko für Stressfrakturen als männliche Athleten. Die Prävalenz ist bei Turnern, Langläufern und Leichtathleten besonders hoch [11]. Für einen problematischen Verlauf des Heilungsprozesses gibt es einige lokale und patientenabhängige Risikofaktoren. Zu den lokalen Risikofaktoren zählen offene Frakturen, Ausmaß der Weichteilschädigung, Infektion der Wunde oder des Knochens, arterielle Verschlusskrankheit, ein falsches Implantat oder unangepasste Osteosynthesetechnik. Hinzu kommen die patientenabhängigen Risikofaktoren. Dazu gehört Nikotinkonsum, Erkrankung an Diabetes Mellitus, Immunsupression, Mangel- oder Unterernährung, Alter und Alkoholkrankheit [10]. Pseudarthrose treten an den unteren Extremitäten häufiger auf als an den oberen Extremitäten, was wohl mit einem geringeren Weichteilanteil und dem erhöhten Auftreten von offenen Frakturen zu begründen ist [5, 6]. Bei der Tibia liegt die Pseudarthroserate bei 45 % beim Radius nur bei 5 % [5, 15] (s. auch Artikel „Mittelfußbruch“ – Häusser, Wieber, Catalá-Lehnen, sportärztezeitung 04/20
Therapie
Sowohl bei akuten als auch bei Stressfrakturen können Pseudarthrosen auftreten. Es gibt einige Therapieverfahren, die hier zum Einsatz kommen können, bevor über eine operative Revision nachgedacht werden muss. Man sollte möglichst früh im Heilungsverlauf mit der Therapie beginnen. Zur konservativen Therapie von Frakturen und Pseudarthrose zählen neben der Physiotherapie, die Stoßwellen-, Magnetfeld- und die Ultraschalltherapie.
Stoßwellentherapie
Bei der Stoßwellentherapie konnten in Studien bei frischen Frakturen keine verbesserte Knochenheilung beobachtet werden (siehe dazu auch Artikel „ESWT beim Knochenödem“ – Schmitz, Catalá-Lehnen, sportärztezeitung 03/21). Im Bereich der Pseudoarthosen konnten einige nicht-kontrollierte, nicht-randomisierte Studien einen positiven Effekt im Heilungsprozess beobachten [1]. In einer Studie aus dem Jahr 2000 konnte bei 77,5 % eine Heilung der Pseudarthrose nach einmaliger Stoßwellentherapie festgestellt werden [14]. Diese Ergebnisse müssen jedoch durch neue hochwertige RCTs belegt werden [1, 4].
Magnetfeldtherapie
Bei der Magnetfeldtherapie zeigen früh durchgeführte Studien kontroverse Ergebnisse. Bei tierexperimentellen Studien konnte eine signifikante Steigerung der Kallusfestigkeit beobachtet werden. Dieser Effekt konnte beim Patienten noch nicht bestätigt werden [12]. Einige Studien zeigen eine schnellere Knochenheilung bei der Magnetfeldtherapie, andere zeigen keine Unterschiede zwischen Kontroll- und Interventionsgruppe. Es fehlen auch in diesem Bereich aktuelle Studien [12, 16]. Eine Studie von 2011 zeigt, dass die Magnetfeldtherapie bei Pseudarthrose nicht wirksam ist [12] (s. auch Artikel Häusser, Wieber, Catalá-Lehnen, sportärztezeitung 04/20).
Niedrig intensiv gepulste Ultraschalltherapie
Wirkmechanismus: Knochen reagieren auf mechanische Reize durch den Auf- und Abbau des Knochengewebes. Diesen Effekt macht sich die niedrig gepulste Ultraschalltherapie zu Nutzen. Das Ultraschallgerät erzeugt eine Schockwelle, die durch den kurzfristigen Druckanstieg und -abfall den Kavitationseffekt hervorruft und auf die Zellen wie ein mechanischer Reiz wirkt. Durch diesen Reiz wird in der Zelle eine Reihe von Prozessen in Gang gesetzt, die zu einer verbesserten Vaskularisierung führen [10]. Durch die Vaskularisierung kann die enchondrale Ossifizierung voranschreiten [7, 9, 10].
Therapie: Die Therapie kann vom Patienten eigenständig nach Anleitung durch den Mediziner durgeführt werden. Dabei wird das Gerät an die, durch Röntgenkontrolle identifizierte Pseudoarthroseregion unter Verwendung eines Kontaktgels angelegt. Die Therapie wird zwischen 90 und 120 Tagen, täglich 20 min durchgeführt. Während der Therapie sollte ein Verrutschen des Gerätes vermieden werden. Bei dieser Therapie ist die Compliance des Patienten von besonderer Bedeutung [7, 1]. Anfängliche Nebenwirkungen wie Wärmeentwicklung und Rötungen wurden durch die gepulsten Ultraschallwellen vermieden [8].
Fallbeispiele
Torwart, 1. Regionalliga, Tibiaschaft(re)fraktur
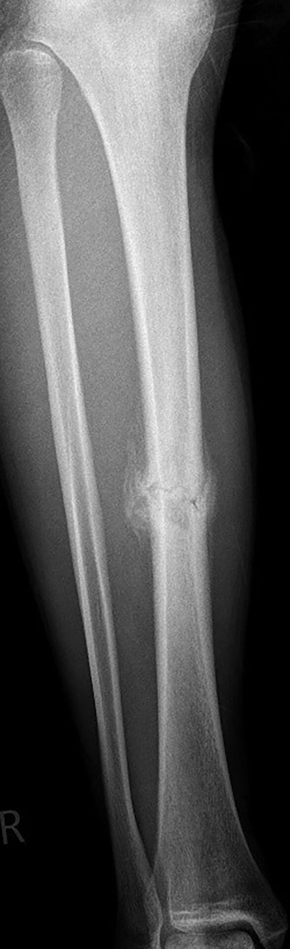
In einem Freundschaftsspiel zweier Amateurligavereine kam es zwischen Torwart und Gegenspieler im Kampf um den Ball zu einem Frontalzusammenstoß mit offener Sohle. Der Torwart beschrieb, extreme Schmerzen im Bereich der rechten Tibiakante zu haben (NRS 8/10). Er konnte zu demonstrativen Zwecken das Bein leicht belasten und hierbei eine unphysiologische Wippbewegung im schmerzhaften Bereich provozieren. Für den Transport ins Krankenhaus wurde die Tibia stabil getaped und mit einem Cryo-Kompressionsverband versorgt. Das Röntgenbild zeigte eine Tibiaschaftfraktur, eine Schrägfraktur mit gerade verlaufender Frakturlinie (Abb. 1).

nach Röntgen Unfallgeschehen
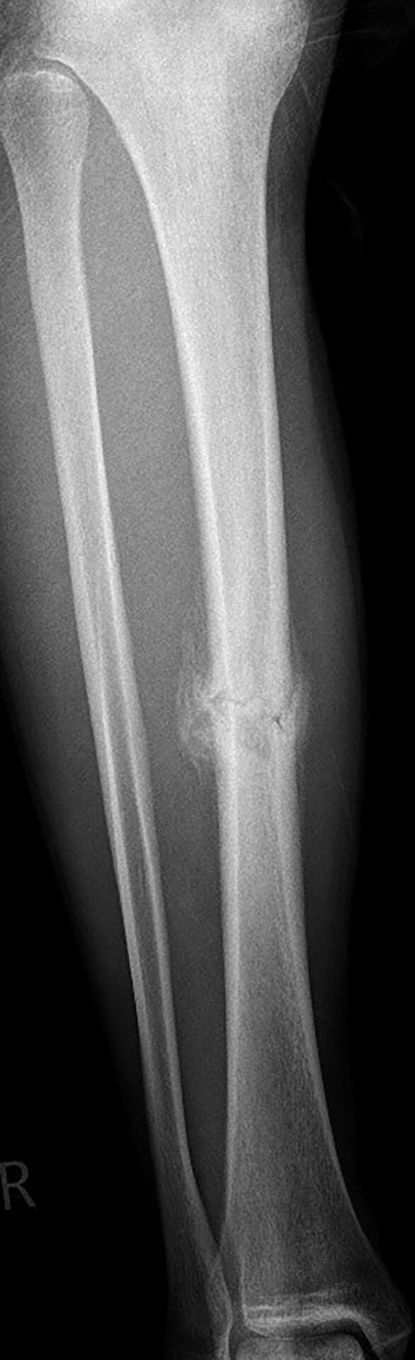
Der Spieler wurde stationär aufgenommen und erhielt neben Antikoagulationstherapie und Novalgin eine Oberschenkelgipsschiene und Unterarmgehstützen. Mit verschiedenen Ärzten evaluierte der Spieler Pro und Contra operativer und konservativer Therapie. Nach zwei Tagen entschied er sich gegen eine OP und wurde nach Hause entlassen. Voraussetzung hierfür war konsequente Ruhe, Hochlegen des Beines und eine wöchentliche Röntgenkontrolle, um Achsabweichungen im Knochenheilungsprozess erkennen zu können. Ab der 2. Woche begann die Physiotherapie. Um den Abtransport der Schwellung, welche sich deutlich im Sprunggelenk und Fuß abgelagert hatte, zu unterstützen, wurde der Unterschenkel mit Grifftechniken aus der manuellen Lymphdrainage behandelt. Das Bein wurde dabei nicht aus der Schiene bewegt. Außerdem benutzte der Spieler eigenständig ein EMS-Gerät, welches er hauptsachlich auf den Quadriceps applizierte. Nach drei Wochen erhielt der Spieler eine Sarmiento-Brace, welche in einem speziellen Orthopädiefachgeschäft maßangefertigt wurde. Diese sollte er weitere drei Wochen tragen. Parallel dazu lag der Fokus weiterhin auf Krafterhaltung der Rumpfmuskulatur und Resorptionsförderung der Schwellung. Nach sechs Wochen konnte der Spieler mit 15 kg die Teilbelastung starten. Als er nach sechseinhalb Wochen mit den Gehstützen auf nassen Badfliesen ausrutschte, kam es zu einer erneuten kurzfristigen Schmerzprovokation und deutlichen Schwellungszunahme in der ventralen Tibia. Das Röntgenbild zeigte keine Verschiebung der Fraktur (Abb. 2). Jedoch wurden Zeichen einer Refrakturierung wurden im Röntgenbild zwei Wochen später sichtbar (Abb. 3). Schwellung und Schmerz waren inzwischen wieder deutlich reduziert und es konnte weiter langsam mit der Aufbelastung auf 30 kg Teilbelastung gestartet werden. Zusätzlich erhielt der Spieler ein Exogen Gerät zur Ultraschalltherapie zu Hause, welches er täglich 20 min verwendete. Zehn Wochen post-injury, damit vier Wochen post re-injury, konnte der Spieler die komplette Belastung wieder aufnehmen. Die Verwendung des Gerätes läuft aktuell täglich über 20 min weiter und unterstützt den Spieler nach subjektivem Empfinden deutlich bei der weiteren Behandlung. Zusätzlich zu der Behandlung wurde dem Spieler während des gesamten Verlaufs eine Substitution von Vitamin D + Vitamin K empfohlen.
Handballer, 1 Bundesliga, Mittelfußfraktur
Bei einem Richtungswechsel im Trainingsbetrieb verspürte der Spieler in seinem rechten Fuß ein Knacken auf Höhe der Metatarsalen V. Der Sportler hatte Schmerzen bei Belastung des rechten Fußes mit zusätzlicher Schwellung und provoziertem Druckschmerz. Es fand eine akute Versorgung mit Cryotaping statt. Unter Röntgen und MRT Kontrolle konnte die Diagnose eines partialen Frakturrezidives mit diskreten Knochenmarködembildung und Zerrung der plantaren Gelenkkapsel im Metatarsal V gestellt werden. Nach Anamnese und körperlicher Untersuchung ist eine orientierende Ultraschalldiagnostik des Fußskeletts empfehlenswert. Bei geübtem Untersucher sind Sensitivität und Spezifität ähnlich gut wie in der Röntgendiagnostik [3]. Trotzdem sollte sich bei Frakturverdacht eine Röntgendiagnostik des Fußes in drei Ebenen anschließen [2]. Bei Frakturen der Basis von MFK 1– 4 sollte eine Computertomographie ergänzt werden, da diese mit Lisfranc-Luxationsfrakturen einhergehen können. Bei Stressfrakturen ist das MRT Goldstandard, da Röntgenaufnahmen häufig falsch negativ sind [17].
Neben der akuten Schonung und Entlastung durch Unterarmgehstützen und einem Belastungsverbot des Fußes entschied sich der Spieler für eine operative Osteosynthese. Die Operation fand ein Monat nach Verletzungsereignis statt. Bis dahin wurde er mit Magnetfeldtherapie ab dem zweiten Tag post-injury versorgt. Die nach Entlassung startende Physiotherapie bestand aus Lymphdrainage und Oberkörpertraining. Anteilig wurden die Beinbeuger und -strecker in einem kurzen Hebel mittrainiert. Bereits während der ersten Behandlung gab der Spieler an, keine Schmerzen mehr, sondern ein schnelleres Ermüden des Fußes zu bemerken. Nach der Entfernung der Fäden folgte zusätzlich eine sonokontrollierte Infiltration an die Fraktur Metatarsale V rechts von dorsolateral mit 1ml leukozytenarmen PRP. Ergänzend wurde mit der Ultraschalltherapie mit einem Exogen Gerät zur Beschleunigen der Frakturheilung begonnen. Der Patient wurde in die Handhabung des Gerätes eingewiesen und konnte die Therapie eineinhalb Wochen täglich in der Praxis durchführen. Die Ultraschalltherapie wurde durch eine 2x wöchentliche Applikation mit der Stoßwellentherapie sowie Magnetresonanztherapie unterstützt. Vier Wochen postoperativ wurde die Muskulatur des Hüftgelenks sowie des Kniegelenks in der Seitenlage trainiert und die Wade mit Hilfe Elektrotherapie stimuliert, um einer langsam erkennbaren Atrophie entgegen zu wirken. Der Spieler gab weiterhin keine Schmerzen an. Um die Mobilität zu erhalten und das betroffene Gewebe zu unterstützen, wurden außerdem Weichteiltechniken sowie Mobilisationstechniken im umliegenden Gebiet angewendet. Die weiterlaufende physiotherapeutische Behandlung richtete sich nach dem RTA/S (Return to Aktivity/Sports) Schema

Drei Monate post-operativ erhielt der Spieler, unter erneuter Röntgenkontrolle, eine volle Sportfähigkeit sowie eine Freigabe für die volle Belastung. Der Spieler wurde zusätzlich 14 Wochen post-operativ mit dem Ultraschall-Gerät Zuhause versorgt und verwendet dieses täglich für 20 min. Vier Monate nach der OP zeigte sich nach Teilnahme des Spielers an einem Spiel im Röntgen eine Re-Fraktur. Der Spieler musste nach kurzer Spielzeit aufgrund von Schmerzäußerung ausgewechselt werden. Folge war das erneute Einsetzen der Ultraschall-Behandlung zur Beschleunigung des Heilungsverlaufes, erneutes Sportverbot und weiter physiotherapeutische Behandlung (gesteigerter Belastungsaufbau über 14 Tage für Impacts wie Sprünge vorerst nicht freigegeben). Sobald Impacts wieder ausführbar waren, durfte der Spieler mit leichten Kurzdistanzläufen starten und diese Belastung unter Röntgenkontrolle steigern. Drei Monate nach der Re- Fraktur durfte der Spieler nach erneuter Röntgen- und CT-Kontrolle sowie Schmerzfreiheit am Mannschaftstraining voll teilnehmen (Abb. 4). Mit der Freigabe setzte der Spieler auch Ultraschall-Behandlung ab, die ihn nahezu während der gesamten Heilungsphase begleitet hat. Zusätzlich zu der Behandlung wurde dem Spieler während des gesamten Verlaufs eine Substitution von Vitamin D empfohlen.

Fazit
Beide Fallbeispiele verdeutlichen die multifaktorielle Behandlungsweise solcher Frakturen. In der Praxis beobachten wir vor allem positive Ergebnisse hinsichtlich Schmerzskala und Funktionalität, wobei zu berücksichtigen bleibt, dass dies nur subjektive Parameter sind. Eine Reduktion der Schmerzen und Unterstützung der Knochenheilung kann hier auf Ebene der Ernährung, durch Stoßwellentherapie und gegebenenfalls ergänzender Magnetfeldtherapie erreicht werden. Vor allem bei der Ultraschalltherapie berichten die Patienten keinerlei adversen Effekte, wie es teilweise bei der Stoßwelle mit stechenden Schmerzen bei der Behandlung vorkommt. Gegenteilig wird die eigene Handhabbarkeit im Home-Setting als sehr positiv und motivierend empfunden. In beiden Settings konnte eine Ausheilung im multimodalen Therapieansatz beobachtet werden. Bislang fehlen aber weiterhin groß angelegte randomisierte Studien, um den potenziellen Einzeleffekt durch Ultraschalltherapie sicher abschätzen zu können.
Literatur
[1] M Arand. Physical treatment options with impact on bone healing. Der Un-fallchirurg, 122(7):526–533, 2019.
[2] M Beck, A Wichelhaus, R Rotter, P Gierer, and T Mittlmeier. Mittel-und vorfußfrak-turen. Der Unfallchirurg, 122(4):309–322, 2019.
[3] David Bica, Ryan A Sprouse, and Joseph Armen. Diagnosis and management of common foot fractures. American family physician, 93(3):
183–191, 2016.
[4] Rainer Biedermann, Arho Martin, Gerhart Handle, Thomas Auckenthaler, Chris-tian Bach, and Martin Krismer. Extracorporeal shock waves in the treatment of nonunions. Journal of Trauma and Acute Care Surgery, 54(5):936–942, 2003.
[5] Karl Friedrich Braun, Marc Hanschen, and Peter Biberthaler. Definition, risikofak-toren und klassifikationsmodelle von pseudarthrosen. OP-JOURNAL, 35(03):217–224, 2019.
[6] Tzioupis Christopher and V Giannoudis Peter. Prevalence of long-bone non-unions. Injury, 38:3–9, 2007.
Autoren
ist wissenschaftliche Koordinatorin am LANS Medicum. Sie hat sich zuvor an der Deutschen Sporthochschule Köln in Exercise Science and Coaching (M. Sc.) spezialisiert und war selbst im Schwimmleistungssport aktiv.
ist Facharzt für Orthopädie und Unfallchirurgie, Spezielle Unfallchirurgie und Sportmedizin. Er ist Gründer und Inhaber des LANS Medicum. Seine mannschaftsärztlichen Betreuungen umfassten u. a. das Handballteam des HSV sowie von 2011-2014 die Erstligafußballmannschaft des Hamburger SV. Heute betreut er mit seinem Team mehrere Fußball- und Hockeyteams sowie das Hamburger Ballett von John Neumeier. Außerdem ist Prof. Catalá-Lehnen als Professor für den Schwerpunkt Orthopädie an der Medical School Hamburg und am UKE in der Lehre für das Fach Knochenpathologie tätig.







