Im sportmedizinischen Alltag stellen uns atraumatische Bein- und Armschmerzen regelmäßig vor diagnostische und therapeutische Herausforderungen. Die Gewichtung der Differenzialdiagnostik im Rahmen von Symptomkomplexen, welche sowohl orthopädische, neurologische, als auch vaskuläre Aspekte aufweisen, ist dabei nicht immer einfach. In diesem Übersichtsartikel sollen die wichtigsten arteriellen und venösen Gefäßproblematiken anhand realer Kasuistiken aus der sportangiologischen Sprechstunde zusammengefasst und deren Stellenwert unterstrichen werden.
Fall 1 – nicht nur Nerven
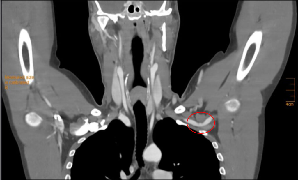
39-jähriger Tennisspieler mit stärksten Armschmerzen links beim Service-/Aufschlag-Training. Raynaud-Phänomen der Finger in der linken Hand sowie vereinzelten kleinsten Hämorrhagien im Bereich der Fingernägel. Laborchemisch findet sich keine erhöhte humorale Aktivität oder Anzeichen von Vaskulitiden. Duplexsonographisch imponiert unter Provokationsstellung (Service-Position mit Elevation und Außenrotation des Armes sowie Retraktion der Skapula) eine komplette Sistierung des Blutflusses in der Arteria axillaris links.

Repetitive Kompressionsbelastungen der Arteria subclavia /Arteria axillaris im Bereich von prädisponierenden anatomischen Engstellen wie der Skalenuslücke (Musculus scalenus anterior und Musculus scalenus medius), dem subklavikulären Raum sowie der Passage des neurovaskulären Bündels unterhalb der Musculus pectoralis minor Sehne können zu Gefäßwandalterationen bis hin zu thromboembolisch aktiven Aneurysmata führen. Der Begriff des Thoracic-Outlet-Syndroms ist unspezifisch und subsummiert Kompressionssyndrome des neurovaskulären Bündels (Plexus brachialis, Arteria/Vena subclavia) im Schultergürtelbereich. Rund 95 % der belastungsinduzierten Armschmerzen aufgrund eines TOS sind neurogen bedingt. Rund 4 % sind venöse TOS, wobei die chronische Gefäßwandschädigung bei Überkopfsportlern nicht selten mit subakuten Thrombosierungen der Armvenen (früher Paget-Schroetter-Syndrom) einhergehen kann. Hierbei ist zu erwähnen, dass sich die Verteilung von tiefen Venenthrombosen bei Leistungssportlern deutlich von denen der Allgemeinbevölkerung unterscheidet. Im Sport finden sich rund 58 % der tiefen Venenthrombosen in den oberen Extremitäten, wobei in über 95 % der Fälle die Vena subclavia betroffen ist. In 38 % der Fälle ist ein Thoracic-Outlet-Syndrom hierfür verantwortlich. Davon betroffen sind v. a. Disziplinen wie Gewichtheben und Wurfsportarten. Nicht selten sind auch Kallusbildungen oder Pseudoarthrosen nach Klavikulafrakturen für die Kompromittierung der Gefäßwandintegrität verantwortlich. Im Gegensatz finden sich im Kollektiv von Leistungssportlern nur 34% der tiefen Venenthrombosen im Bereich der unteren Extremitäten, wobei in 1/3 der Fälle die kruralen Venen betroffen sind [1]. Hierbei vermutet der Autor jedoch eine hohe Dunkelziffer in Bezug auf oberflächliche Venenthrombosen und Muskelvenenthrombosen. Dies insbesondere unter Berücksichtigung von Kontaktsportarten wie Fußball oder im Rahmen von Muskelverletzungen. Prävalenz- und Inzidenzdaten in Bezug auf oberflächliche Stammvenen- / Seitenast-Thrombosen und Muskelvenenthrombosen sind jedoch in der Literatur praktisch in existent.
Im vorliegenden Fall des 39-jährigen Tennisspielers konnte ein neurogenes TOS ausgeschlossen werden. Eine CT-Angiographie unter Provokationsstellung konnte das duplexsonographisch vermutete arterielle TOS bestätigen. Das arterielle TOS repräsentiert mit 1 % die seltenste der drei TOS-Entitäten (neurogen, venös, arteriell). In den Händen von erfahrenen TOS-Chirurgen widerspiegelt die operative Dekompression mit einem transaxillären Zugang den therapeutischen Goldstandard, wobei mit einem medianen «Return-To-Sports» von 9 – 10 Monaten gerechnet werden muss. Gemäß amerikanischen Daten erreichen betroffene Baseball-Pitcher auch drei Jahre nach operativer Dekompression wieder präoperative maximale Wurfgeschwindigkeiten von rund 150 km/h [2].

M. pectoralis minor (M. pectoralis minor Syndrom).

Fall 2 – nicht so selten
22-jähriger Bahnradfahrer mit krampfartigen linksseitigen Beinschmerzen bei Maximalbelastungen (im Sprint) und signifikanter Differenz der Wattleistung auf den Pedalen (rechts 58 %, links 42 %). Zudem zeigt sich ein Abfall des Knöchel-Arm-Index im linken Bein von 0.99 auf 0.56 unmittelbar nach Fahrradbelastung. Als duplexsonographisches Korrelat findet sich eine relative Stenose mit sichelförmiger Verdickung der Tunica intima an der großen Kurvatur der Arteria iliaca externa links.
Schauen wir auf die Abbildungen 2.1. – 2.5.: Die Diagnostik der Endofibrose umfasst eine Ruhe- und Belastungstestung der Knöchel-Arm-Indizes (ABI; ankle-brachial-index) mit segmentaler Puls-Oszillographie (Symbolbilder 2.1 und 2.2, nicht der Athlet vom Fall 2), eine Duplexsonographie (B-Flow Modus, Bild 2.3.), sowie eine MR-Angiographie (dezente Lumeneinengung mit rotem Pfeil, Bild 2.4.), wobei die Tunica Intima-Media-Verdickung, welche sich in 90 % der Fälle im Bereich der A. iliaca externa (Schema-Zeichnung mit rotem Pfeil, Bild 2.5.) befindet, herausgearbeitet werden kann.

Dieser Fall repräsentiert eine typische Beschwerdesymptomatik im Sinne einer Endofibrose der Beckenarterien (oder FLIA; flow limitation of iliac arteries). Differenzialdiagnostisch sollte hierbei eine Pathologie des Iliosakralgelenkes, eine dynamische Spondylolisthese sowie ein femoroazetabuläres Impingement ausgeschlossen werden. In seltenen Fällen kann sich auch ein Entrapment der kutanen Äste des N. femoralis ähnlich manifestieren. Im vorliegenden Fall konnte jedoch der hochgradige Verdacht einer Endofibrose der Arteria iliaca externa auch in der Magnetresonanzangiographie bestätigt werden. Wichtig ist die Abgrenzung der Endofibrose (= Verdickung der inneren und mittleren Gefäßwandschicht an der großen Gefäßkurvatur) von der peripheren arteriellen Verschlusskrankheit, bzw. der Arteriosklerose (= Plaqueatheromatose an der kleinen Gefäßkurvatur). In einem Kollektiv von Leistungssportlern beziffert sich die geschätzte Prävalenz der Endofibrose / FLIA auf rund 10 – 20 % [3]. Dabei sind Straßenrennradfahrer und Triathleten, welche sich häufig über längere Zeit in der aerodynamisch Position befinden, häufiger betroffen als Mountainbiker. Dies liegt wohl primär an der Geometrie der Arterie unter Belastung, wobei es etwa 2 – 6 cm nach Abgang der Arteria iliaca interna zu einer Knickbildung des A. iliaca externa kommt und aufgrund der rund 4-6-fach erhöhten Herzminutenvolumen auch entsprechende Scherkräfte im Bereich der Tunica intima / media der Gefäßwand entstehen können. Radfahrer genießen jedoch diesbezüglich keine Exklusivität. Auch Eisschnellläufer, Marathonläufer oder Ruderer können an Endofibrose erkranken. Als weitere prädisponierende Faktoren für die Entstehung eines Kompressionssyndroms ebendort sind auch die Hypertrophie des Musculus psoas major, nutritive Arterien von der Beckenarterie zum Psoas, sowie eine Elongation des Gefäßes mit assoziiertem „Kinking“ (Knickbildung insb. bei Hüftflexion) zu nennen [4]. In Bezug auf die Therapie sind konservative Maßnahmen, wie die Optimierung der Lenker-/Sattel-/Pedalen-Position („Bikefitting“), die vermehrte Kraftübertragung auf die Pedalen via Glutealmuskulatur, oder auch die Optimierung des Stickstoffhaushaltes am Endothel mittels Folsäure-Substitution nur selten erfolgreich. Goldstandard hier ist somit ebenfalls die offen-gefäßchirurgische Sanierung mittels Längsarteriotomie und venöser Patch-Plastik. Von einer endovaskulären Stent-Implantation sollte bei dieser Entität aufgrund der Gefahr von Stent-Frakturen bei anhaltender sportlicher Belastung dringend abgeraten werden.
Fall 3 – nicht übersehen
25-jährige Fußballerin mit belastungsinduzierten drückenden und krampfartigen Wadenschmerzen beidseits (linksbetont, Crescendo und Decrescendo des Schmerzes innerhalb von Sekunden) nach Laufstrecken von 2 ½ km. In der Vergangenheit wurde ein Logensyndrom der tiefen Wadenflexoren diagnostiziert und endoskopisch-assistiert gespalten. Dies, sowie rezidivierende intramuskuläre Botulinumtoxin-Injektionen in die Wadenmuskulatur haben keine anhaltende Beschwerdelinderung herbeiführen können.
Im Gegensatz zum belastungsinduzierten chronischen Kompartmentsyndrom zeigt sich beim Entrapment-Syndrom der Arteria poplitea eine belastungslimitierende Schmerzentwicklung innerhalb weniger Sekunden, welche sich nach Sistierung der Belastung auch ebenso schnell wieder verflüchtigt. Dementsprechend ist die Demaskierung eines Kompressionssyndroms der Arteria poplitea mittels Knöchel-Arm-Index nach Laufbandbelastung oft schwierig, bzw. nicht selten falsch-negativ. Eine Duplexsonographie der Kniekehlenarterie in Bauchlage unter entsprechender Provokation in Plantarflexion kann hierbei meist zielführend sein. Eine anschließende CT-/MR-Angiographie (ebenfalls unter Provokation) dient dem behandelnden Gefäßchirurgen dann zur besseren Visualisierung der Anatomie im Bereich der Fossa poplitea. Am häufigsten zeigt sich hierbei eine Kompression der Arteria poplitea durch den medialen Musculus gastrocnemius.
Die Inzidenz eines poplitealen Entrapments mit anatomischem Korrelat in der Fossa poplitea befindet sich bei rund 0,6 – 3,5 %. Nicht selten findet sich duplexsonographisch jedoch eine Kompression der Kniekehlenarterie im Bereich der Soleus-Schlinge ohne eigentliche anatomische Variationen, was als funktionelles Entrampent definiert wird und primär konservativ behandelt werden sollte. Liegt hingegen eine anatomische Anomalie vor ist die offen-chirurgische Dekompression mi-t Myektomie (meist des medialen Musculus gastrocnemius) die Therapie der Wahl [5].

Fall 4 – nicht vergessen
28-jähriger professioneller Fahrer mit distalem Abriss der Musculus semitendinosus Sehne links und druckdolenter Wadenmuskulatur. Begleitend findet sich duplexsonographisch eine langstreckige Muskelvenenthrombose im medialen Musculus gastrocnemius links (Thromboselänge 37cm – 57cm ab planta pedis) mit proximalem Endpunkt unmittelbar vor der Mündung in die Vena poplitea.

Wie im Rahmen des ersten Falles bereits angetönt ist die vermutete Dunkelziffer von oberflächlichen Venenthrombosen und Muskelvenenthrombosen wohl höher als die aktuelle Literatur vermuten lässt. Dies begründet sich insbesondere darin, dass man sich in der Literatur sowie in der duplexsonographischen Schnelldiagnostik primär auf die tiefen Beinvenenthrombosen fokussiert. Die Detektion von oberflächlichen Venenthrombosen und insbesondere Muskelvenenthrombosen ist deutlich schwieriger und bedarf einer gewissen Erfahrung. In einem Kollektiv von 18-35-jährigen Fußballspielern zeigt sich eine rund 10 x höhere Prävalenz von tiefen Beinvenenthrombosen als in der Allgemeinbevölkerung (Allgemeinbevölkerung: 1:10’000 vs. Fußballer 1.2:1000) [6]. Allerdings können nicht nur tiefe Beinvenenthrombosen nach kranial migrierten, sondern rund 10 % der Patienten mit einer oberflächlichen Beinvenenthrombose keine Progression ins tiefe Venensystem und im weiteren Verlauf eine Lungenembolie erleiden [7]. In Bezug auf die Beinvenenthrombosen in einem Kollektiv von Leistungssportlern ist somit nicht nur die Diagnostik herausfordernd, sondern auch die Therapie mittels oraler Antikoagulation. Dies aufgrund der Tatsache, dass sich eine Blutverdünnung nicht mit den Blutungsrisiken des Kontaktsports vereinbaren lässt. Das Antikoagulations-Management von kompetitiven Berufssportlern bedarf somit einer genauen Analyse des individuellen Blutungsrisikos, des sporttypischen Verletzungsrisikos, sowie der sononatomischen Begebenheiten der Thrombose. Im Sinne eines «informed consent» sowie einem «shared-decision-making» ist unter entsprechenden Vorsichtsmassnahmen mit Einbezug der Pharmakodynamik/-kinetik die Fortführung des Kontaktsports mit oraler Antikoagulation organisierbar.
Literatur
- Hilberg T, Ransmann P, Hagedorn T: Sport and venous thromboembolism—site, accompanying features, symptoms, and diagnosis. Dtsch Arztebl Int 2021
- Ohman JW, Thompson RW. Thoracic Outlet Syndrome in the Overhead Athlete: Diagnosis and Treatment Recommendations. Curr Rev Musculoskelet Med. 2020 Aug;13(4):457-471.
- Gähwiler R, Hirschmüller A, Grumann T, Isaak A, Thalhammer C. Exercise induced leg pain due to endofibrosis of external iliac artery. 2021 Feb;50(2):92-100
- J. Hinchliffe, et al. Diagnosis and Management of Iliac Artery Endofibrosis: Results of a Delphi Consensus Study, European Journal of Vascular and Endovascular Surgery. Volume 52, Issue 1, 2016, Pages 90-98
- Hislop M, Kennedy D, Cramp B, Dhupelia S. Functional Popliteal Artery Entrapment Syndrome: Poorly Understood and Frequently Missed? A Review of Clinical Features, Appropriate Investigations, and Treatment Options. J Sports Med (Hindawi Publ Corp). 2014;2014:105953
- Drobnic, Franchek & Gonzalez de Suso, Jose & Turmo Garuz, Antonio & Gudelis, Mindaugas & Valle, Xavier & Peirau, Xavier & Souto, Juan & Escudero, José & Soria, Jose. (2021). Prevalence and predisposition to deep vein thrombosis in professional male soccer players. Apunts Sports Medicine.
- Piazza G, Krishnathasan D, Hamade N, Ujueta F, Scimeca G, Ortiz-Rios MD, McGonagle B, Galanaud JP, Jiménez D, Monreal M, Fanikos J, Dua A, Tefera L, Kolluri R, Parikh SA, Ageno W, Goldhaber SZ, Weitz JI, Moores LK, Quéré I, Bikdeli B. Superficial Vein Thrombosis: A Review. JAMA. 2025 Sep 15
Fotos: © Roman Gähwiler
Autoren
» Facharzt für Innere Medizin (FMH) und Facharzt für Angiologie (FMH), interdisziplinärer Schwerpunkt Sportmedizin (SEMS), MSc in Sportmedizin (GOTS)
» ALTIUS Swiss Sportmed Center Rheinfelden/AG, Swiss Olympic Medical Center, Schweiz & Berit SportClinic, Speicher/AR, Swiss Olympic Medical Center, Schweiz
» Spezialisierung u.a. auf Gefässkompressions-Syndrome bei Sportlern
© Cavaleri Flavio Fotografie




