Das Krankheitsbild der Spondylolyse stellt in der Sportorthopädie und insbesondere im Leistungssport eine regelmäßige Problematik dar. Diese komplexe Dysplasie soll in aufeinanderfolgenden Beiträgen besprochen werden. Lesen Sie hier zunächst einen Artikel zur Ätiologie und Pathogenese, folgend zur konservativen und operativen Therapie.
Mit dem Begriff Spondylolyse wird ein Wirbelsäulenleiden beschrieben, das im Rahmen der wissenschaftlichen Aufarbeitung als Ursache bzw. Vorstufe der isthmischen Spondylolisthesis beschrieben wird. Es handelt sich hierbei um eine Wirbelbogenschlussstörung zusammen mit der Spina bifida occulta und den Dysplasien der Facettengelenke. Bereits 1881 hat F. L. Neugebauer in seiner Dissertation: „Zur Entwicklungsgeschichte des spondylolisthetischen Beckens“ nachgewiesen, dass es sich bei der zugrunde liegenden Pathologie nicht um eine Wirbelverschiebung, sondern um eine Wirbelkörperverschiebung handelte. Bis zu diesem Zeitpunkt war das Krankheitsbild der Spondylolisthese nur in Geburtshelferkreisen bekannt, da es hier vor allem als Hindernis bei der Geburt via naturalis auftrat. Scherb und Junghanns (1929) sahen in der spondylolytischen Spaltbildung der Interartikularportion einen erforderlichen Faktor für die Entstehung der Spondylolisthese.
Die anfänglich vertretene Ansicht, dass die Spondylolyse kongenital angelegt sei und der Gleitprozess durch Traumen ausgelöst werde, konnte durch eingehende Studien nicht bestätigt werden: Bis in die Gegenwart ist kein Sektionsbefund bekannt, bei dem postnatal eine Fraktur an typischer Stelle gesichert werden konnte. Viel wahrscheinlicher erscheint eine Dysplasie der Interartikularportion, die im Verlauf des Lebens zu einer Stressfraktur führt. Offensichtlich kommt es beim Übergang des Vierfüßler- zum Zweifüßlerganges bei entsprechender Anlage durch wiederholte Mikrotraumen (Sturz auf das Gesäß) zum Bruch der Interartikularportion. Diese, einer Stressfraktur ähnelnde Situation, kann im weiteren Verlauf folgenlos ausheilen oder sich zu einer Pseudoarthrose entwickeln, der späteren Spondylolysezone. Weitere Gründe für das Entstehen einer isthmischen Spondylolyse sind ausgeprägte, kräftig ausgebildete Processus articulares inferiores des nächsthöheren Wirbelkörpers, die bei Hyperextension einen Stress, im Sinne einer ständigen Druckerhöhung, auf die darunter liegende Interartikularportion ausüben (Nussknackerphänomen). Dieser Mechanismus soll die im späteren Leben auftretenden Spondylolysen durch hyperexentierende Sportarten begünstigen. In 80 – 95 % der Fälle ist der 5. Lendenwirbel betroffen.
Prävalenz und Progression
Eine Spondylolyse tritt in 4 – 6 % der Normalbevölkerung auf. Das männliche Geschlecht ist gegenüber dem weiblichen Geschlecht prädisponiert. Es findet sich darüber hinaus auch eine genetische Disposition. Es zeigen sich insgesamt zwei Altersgipfel (4,4 % der Normalbevölkerung in den ersten sechs Lebensjahren, 2 % im adoleszenten Lebensabschnitt). Diese Zahlen gehen auf eine Untersuchung von Frederickson et al. aus dem Jahre 1984 zurück. Die Prävalenz bei adoleszenten Sportlern liegt deutlich höher bei 7 – 21 %, wie Crawford et al. 2015 zeigten.
Ein Risikofaktor für die Progression der Spondylolyse, das heißt, den Übergang zur Spondylolisthese, ist die infantile Form. Hierunter wird die Entstehung und Diagnose der Spondylolyse innerhalb der ersten sechs Lebensjahre verstanden. Obwohl die Spondylolyse zwischen 1,6 – 4,5 mal häufiger bei männ-
lichen adoleszenten Sportlern auftritt, entwickelt sich bei Frauen häufiger aus einer Spondylolyse eine –olisthese. Es wird angenommen, dass dabei hormonelle Faktoren eine Rolle spielen. Ausgeprägte Spondylolisthesen und hohe Gleitwinkel zum Zeitpunkt der Erstdiagnose stellen ein erhöhtes Risiko für eine Progression dar. Auch sekundäre Veränderungen, die Spina bifida occulta, der kuppelförmige Aufbau der Deckplatte S1 (Dombildung) sowie der trapezförmige LWK 5 durch Abbau der dorsalen knöchernen Strukturen, Bandscheibenraumverschmälerungen und ventrale osteophytäre Anbaureaktionen, können ebenfalls mit einem Fortschreiten des Gleitprozesses und dem Auftreten klinischer Symptome in Einklang gebracht werden.
Die adoleszente Spondylolistheseform, die durch rezidivierende Hyperextension begünstigt wird, ist im medizinischen Schrifttum bei Kunstturnerinnen, Turmspringern und Speerwerfern beschrieben. Diese Sportarten gehen mit einer Inzidenz von 30 – 40 % Spondylolysen einher. Darüber hinaus ist bei Kontorsionisten („Schlangenmenschen“) die Spondylolyse Voraussetzung für die Hyperextension bei akrobatischen Übungen. Der klinische Alltag, aber auch die wissenschaftliche Literatur zeigen, dass neben den oben genannten Sportarten durchaus auch Fußball und Tennis, aufgrund der häufigen Bewegungsalgorithmen mit Dorsalextension und Rotation, entsprechende Belastungen auf die Interartikularportion aufbringt, sodass es hier zunächst zum bone bruise und später dann zur Stressfraktur kommt.
Die Spondylolyse bzw. Spondylolisthese geht nach einer Untersuchung von L. Jani aus dem Jahre 1972 mit ca. 46 % Rückenschmerz einher. Im Vergleich klagen 15 % aller Menschen mit einer Skoliose über Rückenschmerzen. Kinder mit anhaltenden oder wiederholten Rückenschmerzen sollten somit auf das Vorliegen einer Spondylolyse oder Spondylolisthese untersucht werden. Mehrere Studien zeigen, dass Spondylolysen bei Leistungssportlern häufig symptomatisch sind, unabhängig davon, ob sie uni- oder bilateral auftreten. Die Beschwerden beginnen häufig, beispielsweise bei Ballsportlern, im Rahmen eines sogenannten High-Velocity-Kick’s, welche mit einer LWS- und Hüftextension und ausgeprägten Knieflexion einhergeht
Klinische Untersuchung
Bei der klinischen Untersuchung findet sich meistens eine lumbale Hyperlordose und im akuten Fall eine reflektorische Lendenstrecksteife. Diese geht einher mit einer Steifstellung im Hüftgelenk. Werden die Beine angehoben, so bewegt sich das ganze Becken mit. Beim Michelis Test (one leg hyperextension Test) wird bei Einbeinstand eine Hyperextension an der Lendenwirbelsäule durchgeführt. Lassen sich so Rückenschmerzen reproduzieren, kann dies ein Zeichen für eine Spondylolyse sein.
Sensomotorische Defizite finden sich in der Regel nicht. Bei Verdacht auf Spondylolyse ist die bildgebende Diagnostik unumgänglich, da sich aus der klinischen Untersuchung keine spezifischen Befunde ergeben.
Diagnostik
Als Goldstandard wird weiterhin die konventionelle Röntgenaufnahme der Lendenwirbelsäule in 2 Ebenen angesehen. Ausgeprägte Spondylolysen weisen hier bereits erkennbare Veränderungen in beiden Strahlengängen auf. In der Literatur werden Schrägaufnahmen in ca. 15 – 20 Grad Rotation der Strahlenquelle empfohlen, da sich die Spondylolyse in dieser Projektion sehr gut darstellt. Die Spezialaufnahmen sind allerdings mit einer sehr hohen Strahlenbelastung, insbesondere beim weiblichen Geschlecht, verbunden, da die Gonaden im Zielfeld der Schrägaufnahme liegen. Aus strahlenhygienischen Gründen ist diese Aufnahmetechnik heute weitgehend verlassen. Ist sie vonnöten, erkennt man typischerweise das sogenannte „Le Chapelle-Hündchen“. Diese Struktur ähnelt einem Scotch-Terrier, dessen Nase der Querfortsatz, die Ohren der Processus articularis superior und die Vorderläufe der Processus articularis inferior des spondylolytischen Wirbelkörpers darstellt. Der Wirbelbogen verkörpert den Körper des Hundes und der Dornfortsatz den Hinterlauf des Hundes. Der Schwanz des Hundes wiederum wird durch den Processus articularis superior des spondylolytischen Wirbelkörpers imitiert. Findet sich bei dieser Struktur eine Unterbrechung im Halsbereich des Hundes, ähnlich dem Halsband, spricht man von einer Spondylolyse, die hiermit eindeutig diagnostiziert und dokumentiert ist (Abb. 1).

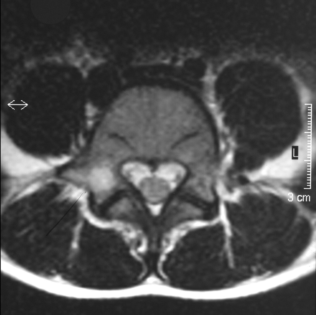
Eine Alternative stellt die Dünnschicht-CT des betroffenen Wirbelkörpers dar. Es ist auf eine entsprechende Gantry-Kippung zu achten, um diese Spondylolyseregion orthograd zu treffen (Abb. 2b + 3). Eine Kernspintomographie kann ebenfalls dienlich sein, hier finden sich typischerweise bone-bruise-artige Veränderungen in den T2- und STIR-Wichtungen, die Unterbrechung in der Interartikularportion ist jedoch kernspintomographisch nur schwierig zur Darstellung zu bringen (Abb. 2a). Die Kernspintomographie stellt am besten den Degenerationsgrad des betroffenen Bandscheibenfaches und mögliche neuroforaminale Engen dar. Der diagnostische Algorithmus sollte somit primär eine konventionelle Röntgenaufnahme in 2 Ebenen beinhalten. Bei anhaltenden Beschwerden ist eine Kernspintomographie und bei fehlendem Nachweis eines Korrelates für die bestehende Symptomatik eine Dünnschicht-CT zum Nachweis oder Ausschluss der Spondylolyse indiziert. Eine Drei-Phasen-Skelettszintigraphie oder ein SPECT/CT können in Ausnahmefällen ebenfalls als diagnostisches Mittel Einsatz finden, sollten jedoch aufgrund der Strahlenbelastung nur in ausgewählten Fällen zum Einsatz kommen.

eines 12-jährigen Mädchens (Kunstturnerin)
Autoren
ist Facharzt für Orthopädie und Unfallchirurgie. Er ist Oberarzt an der Klinik für Wirbelsäulenorthopädie und rekonstruktive Orthopädie, Sana Klinikum Offenbach.
ist Facharzt für Orthopädie und Unfallchirurgie u.a. mit Zusatzbezeichnungen Sportmedizin, manuelle Medizin und Physikalische Therapie. Er ist Chefarzt an der Klinik für Wirbelsäulenorthopädie und rekonstruktive Orthopädie, Sana Klinikum Offenbach. Außerdem ist er Mitglied in verschiedenen wiss. Gesellschaften und war Präsident der Deutschen Wirbelsäulengesellschaft (DWG).
ist Facharzt für Dermatologe mit Zusatzbezeichnung Sportmedizin, Akupunktur, manuelle Medizin / Chirotherapie und Ernährungsmedizin mit bisherigen Lehraufträgen an der TU München, der Universität Regensburg und der Harvard Medical School. Nachdem er Leiter der medizinischen Abteilung und leitender Mannschaftsarzt Eintracht Frankfurt war, übernahm er 2024 die medizinische Verantwortung beim Premier League Club Brighton & Hove Albion.








